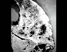
What?
a damaged lung
What happened to it?
clogged with thick mucus
Why?
a disease called cystic fibrosis
Effects:
made breathing difficult
caused lung infections